65YO M WITH NSAIDS INDUCED NEPHROPATHY WITH METABOLIC ACIDOSIS AND CKD WITH HTN

December 13, 2021

This is an online E Log book to discuss our patient's de-identified health data shared after taking his/her/guardian's singed informed consent.

Here we discuss our individual patient's problem through a series of inputs from available global online community if experts with an aim to solve those patient's clinical problems with current best evidence based inputs.

This E log book also reflects my patient centered online learning portfolio and your valuable inputs on the comment box is welcome.

Here is the case I have seen:

CASE DISCUSSION

65 year old male patient came to OPD presenting with:

1.) C/o of difficulty breathing while doing daily routine activities since 15 days
2.) C/o on and off swelling in the both legs since 2 years
3.) C/o decreased urine output since 2 months 
3.) C/o decreased appetite

History of Present Illness

-65 year old male, farmer by occupation and capable of completing all of his routine activities without assistance, was apparently asymptomatic 14 years back when he incidentally met with an RTA because of which he sustained lower back ache. He was conservatively treated in hospital for six days and then discharged.

-Following discharge the patient complained of recurrent back ache for which he took NSAIDS for 10 years from nearby hospital along with herbal medication .

-2 years back the pt complained of unceasing bilateral pedal edema for which he went to local hospital and got treated conservatively after which then pedal edema became intermittent in nature.

-2months back he noticed decreased urine output when compared to previous days

-Since 15 days he complained of shortness of breath grade 2 to grade 3

Past History

-K/c/o Hypertension since 1month ( on tab atenolol 10mg,irregular medication)

-Not a k/c/o diabetes mellitus, asthma, epilepsy, CAD .

-No H/o any surgery in the past

-No H/o of similar complaints in the past

Drug History

-NSAIDs since last 10 years for alleviate chronic lower back back post RTA (estimated 1-2 tab/ day of unknown dosage)

-Tab Atenolol 10mg since 1 month (irregular medication)

Personal history

-Diet - mixed 
-Appetite - decreased
-Sleep - adequate 
-Bowel movements : regular 
-Bladder movements : decreased urine output

Family History

-No relevant family history

On Examination 

Patient is conscious, coherent, cooperative
Well built and properly nourished
Pallor-absent
Icterus-absent
Cyanosis- absent
Clubbing- absent
Lymphadenopathy- absent
Edema- Bilateral Pedal Edema present





Vitals

Temp- 97.7 F (febrile)
PR- 112
RR-20
BP-150/80mm of Hg
SPO2- 97 at room air

Systemic Examination

Cardiovascular Exam

Inspection

Chest wall is bilaterally symmetrical 
No precordial bulge
No visible pulsations, engorged veins, scars, or sinuses

Palpation

JVP- Normal
Apex Beat- Felt in the left 5th intercostal space in the midclavicular line

Auscultation

S1S2 heard
No murmurs

Respiratory System

Position of the Trachea is central
B/L air entry +
Normal Vesicular Breath Sounds Heard
No added sounds

Per Abdomen

Abdomen is soft, non tender
No signs of organomegaly
Bowel sounds heard
No free fluid

Central Nervous System

Patient is conscious, coherent, cooperative
Speech: Normal
No signs of Meningeal irritation 
Motor and Sensory System: No abnormalities Detected
Reflexes: Normal
Cranial Nerves: Intact
GCS Score- 15/15

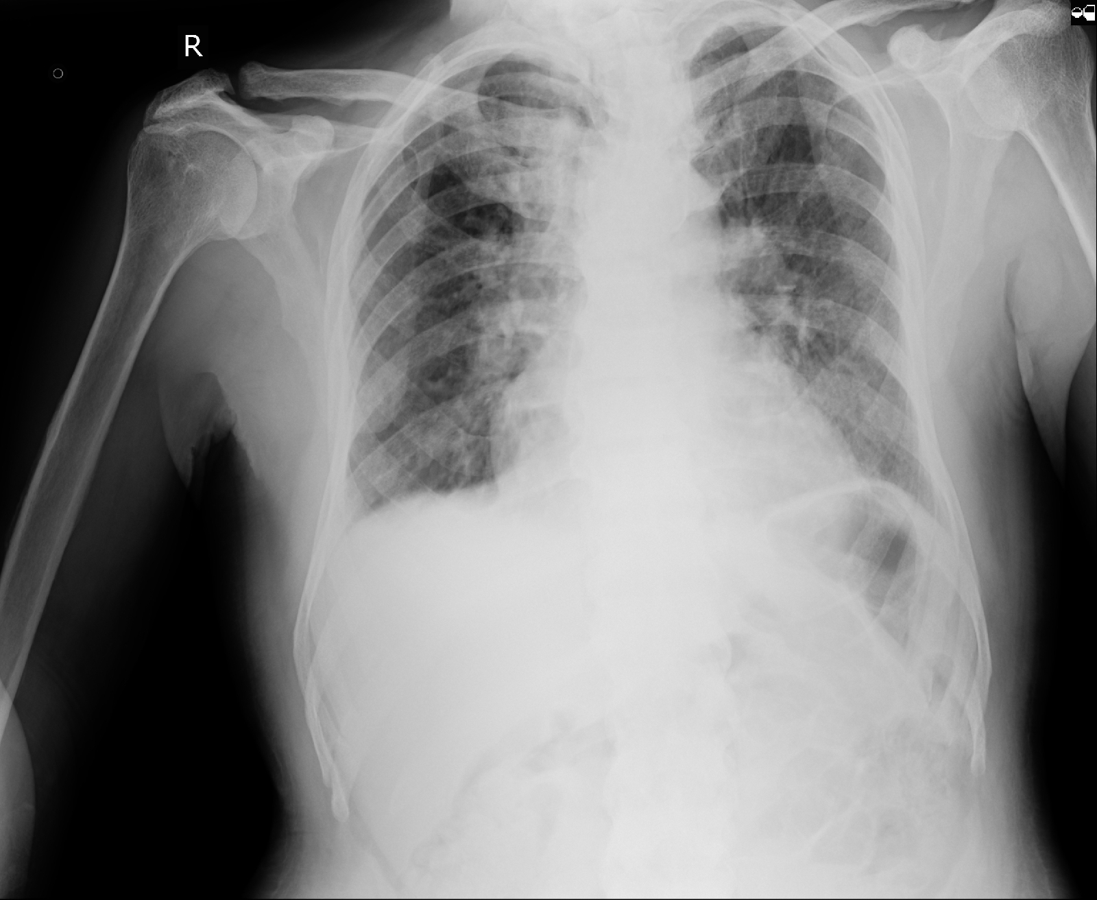
Investigations and Findings

Laboratory Investigations:




Radiological Investigations:






-US Abdomen shows Bilateral grade II Chronic Kidney Disease with bilateral simple renal cortical cysts 


Cardiac Work up:




DIAGNOSIS

-65 y/o Male with NSAIDS INDUCED NEPHROPATHY WITH CKD AND METABOLIC ACIDOSIS AND HTN(1MONTH)

TREATMENT

1.)Fluid restriction (<1l/day)

2.)Salt restriction (<2g/day)
     INJ· LASIX 40 mg IV/ TID.

3.)T. NODOSIS 500 MG PO BD

4.)T. OROFER-XR PO OD

5.)T. SHELCAL-CT PO OD
     STRICT I/O MONITORING.

SOAP NOTES

13/12/21
CKD ward: 65 year old Male

S:

C/o pain in bilateral lower limbs
C/o backache
C/o fever

O:

Pt is conscious, coherent, cooperative
BP: 140/90 mmHg
PR: 70 bpm
Temp: febrile
Last Dialysis was done on 10/12/21
K/c/o HTN since 1 mont

A:

CKD secondary to ?NSAID abuse. ?NSAID induced nephropathy, K/c/o HTN since 1 month

P: 

1. FLUID RESTRICTION 2l/DAY, SALT RESTRICTION 2g/DAY

2. INJ. PANTOP 40 MG/IV/OD

3. INJ. ZOFER 4 MG/IV/BD

4. INJ LASIX 40MG/IV/BD

5. TAB NODOSIS 550 MG/PO/BD

6. TAB SHELCAL 50P MG/PO

7. TAB PCM 650MG/PO/BD

8. TAB CEFIXIME 200MG/PO/QID

9. TAB ULTRACET PO/QID

10. INJ NEOMAL 1GM/IV IF TEMP > 101.1 F

11. MONITOR VITALS AND URINE INPUT/OUTPUT



















Comments

Popular Posts